医院新闻
寒假正当时,矫牙好时机
——让孩子的笑容在新年焕然一新
您是否注意到孩子牙齿有些“与众不同”?比如牙齿拥挤、排列不齐、牙缝过大,或是常说的“地包天”“龅牙”“凸嘴”?这些在医学上称为“错颌畸形”,它们不仅是美观问题,更关乎口腔健康——影响清洁效率、增加蛀牙风险,也会降低咀嚼功能,甚至影响颌面发育与心理健康。
牙齿矫正,时机是关键
很多家长关心:孩子什么时候矫正最合适?事实上,矫正牙齿并没有绝对的“唯一最佳年龄”,但在以下几个“黄金阶段”介入,往往事半功倍:
乳牙期(3-5岁):如发现“地包天”等倾向,及早干预可有效引导颌骨发育,通常佩戴活动矫治器3-6个月即有显著改善。
替牙期(8-10岁):颌骨处于生长高峰期,针对前牙反合、牙弓狭窄等问题进行矫治,能充分利用发育潜力,降低未来矫治难度。
恒牙期(10-14岁):牙齿已基本换完,颌骨仍在发育中,是大多数孩子开始固定矫正的理想时期,配合度高,效果稳定。
即便错过上述阶段,成年后依然可以通过正畸改善牙齿问题。虽然治疗周期可能相对较长,但一样能收获健康与美观。严重的骨性问题,在成年后也可通过正颌-正畸联合治疗获得改善。
寒假将至,正是矫正好时机
矫正治疗前期需要进行比较详细的口腔检查、方案设计,初戴矫治器时也需要一段适应期。利用寒假开始矫正,让孩子有充足的时间适应牙齿的变化,轻松度过初期可能的不适,不耽误开学后的正常学习和生活。
专业团队,为您的笑容保驾护航

朝阳区妇幼保健院口腔科正畸门诊拥有经验丰富的专业医疗团队,尤其擅长儿童与青少年的错颌畸形矫治。我们为每一位患者提供个性化方案设计,目前以活动矫治、固定矫治为主要方式,并将于近期引入隐形矫治技术,为您提供更多样、更美观的选择。
这个寒假,让我们携手,为孩子拥有一口整齐健康的牙齿、一个更加自信灿烂的笑容迈出第一步!朝阳区妇幼保健院口腔科正畸门诊,以专业守护成长,用微笑见证改变。
欢迎前来咨询,预约专属您的正畸评估!
预约流程:关注微信公众号--就诊服务--预约挂号--口腔科
地址:朝阳区北苑东路11号院,三层口腔科
咨询电话:87789800转30221
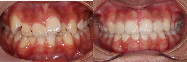
恒牙期嘴凸治疗前后对比

反合治疗前后对比

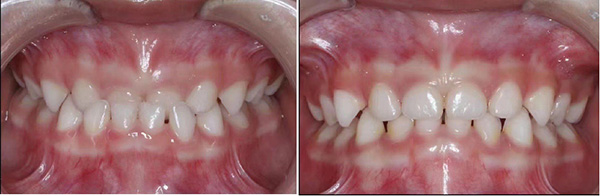
恒牙期牙列拥挤治疗前后对比






京公网安备 11010502052538号